Qu'est-ce que le blanchiment dentaire ?
Le blanchiment dentaire est un traitement esthétique qui vise à éclaircir la teinte des dents et à réduire les colorations dues au temps, à l’alimentation, the ,café, vin, tabac…
Il s’agit d’un soin non invasif, réalisé à l’aide d’un gel éclaircissant activé par une lampe LED, permettant de gagner plusieurs teintes pour un sourire visiblement plus blanc, plus lumineux, plus éclatant.
Ce n’est ni un détartrage, ni un soin médical, mais une technique esthétique d’embellissement du sourire.
C’est une solution idéale pour celles et ceux qui souhaitent :
Raviver la couleur naturelle des dents
Éclaircir plusieurs teintes en douceur
Obtenir un sourire plus éclatant sans invasive
Préparer un événement : mariage, shooting, voyage…
Contre-indications principales
- Personnes présentant des caries non traitées
- Gencives irritées, inflammées ou saignements
- Présence importante de tartre non retiré
- Hypersensibilité dentaire prononcée
- Maladies gingivales ou parodontales non stabilisées
- Dents fracturées ou obturations défectueuses
- Port d’un appareil dentaire au moment du soin
- Femmes enceintes ou allaitantes (par précaution)
Ces situations nécessitent en priorité un suivi bucco-dentaire avant tout traitement d’éclaircissement.
Résultats attendus
→ Sourire plus blanc & plus lumineux
→ Réduction des taches (café, thé, tabac, vin…)
→ Teint éclatant, dents visuellement plus saines
→ Résultat immédiat, évolutif après la séance
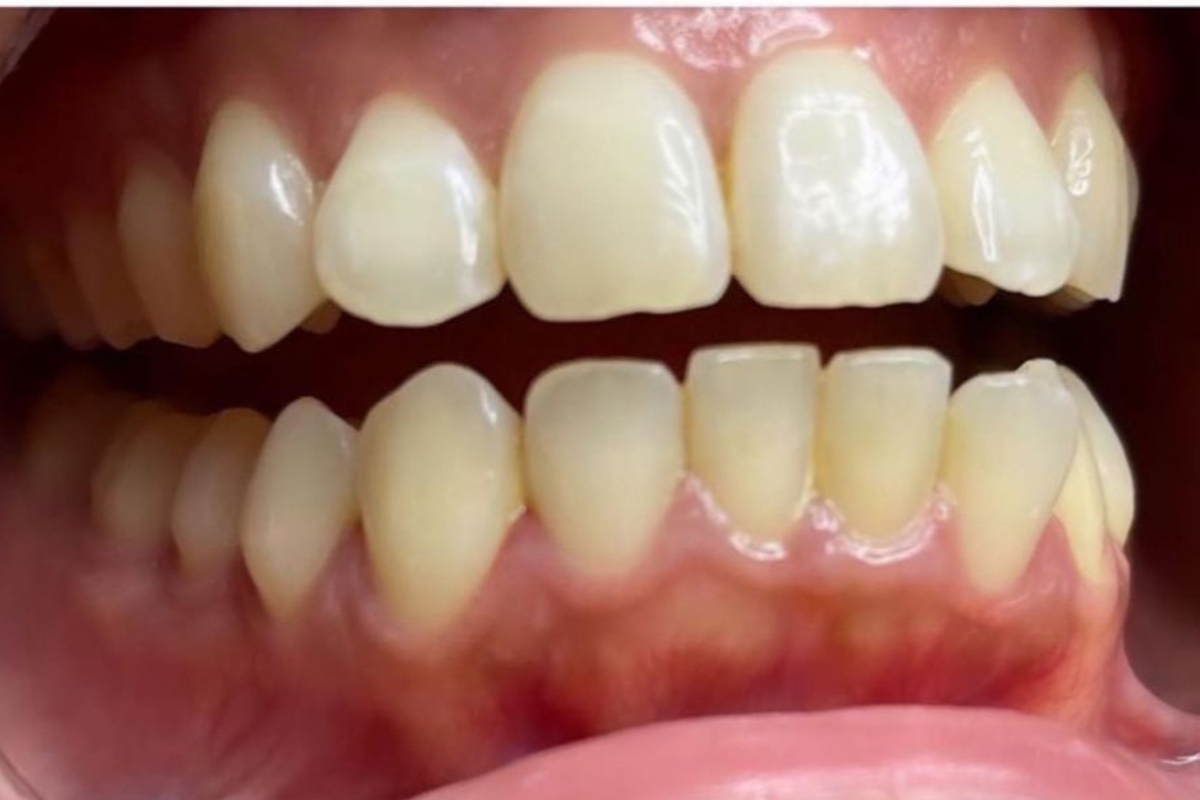
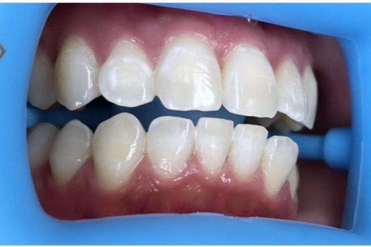
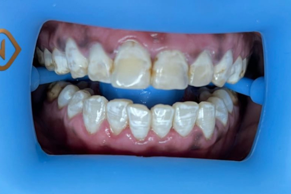
Découvrez nos avant / après


